
Dentistry for Dogs and Cats
Animal Dental Care Information
For dogs and cats alike, preventive care goes beyond regular wellness visits and timely vaccinations. Dental care for pets remains an important part of maintaining your pet’s overall health and wellness as well. At our full-service veterinary practice in Allen, TX we offer comprehensive dental care for cats and dogs. From basic oral exams to more complex oral surgeries, we're fully equipped to provide your pet with the care needed to remain healthy and happy.
Why is Pet Dental Care So Important?
Just like in humans, oral health impacts overall well-being. While positive dental health can ensure proper digestion and chewing, poor dental hygiene can open the door for issues such as periodontal disease and tooth infections. If left untreated, these preventable conditions can damage other parts of the body, including the brain, health, liver, and kidneys. As a result, annual oral examinations can help prevent more serious health issues from occurring.
Schedule Your Pet’s Dental Visit Today!
Your pet’s oral health plays an equally important role in their overall wellness. Taking a proactive, preventive approach to pet dentistry can ensure they stay healthy and happy throughout their life. For more information about dental care for cats and dogs, contact Country Creek Animal Hospital today to schedule your pet’s next oral check-up.

Animal Dental Care Information
For dogs and cats alike, preventive care goes beyond regular wellness visits and timely vaccinations. Dental care for pets remains an important part of maintaining your pet’s overall health and wellness as well. At our full-service veterinary practice in Allen, TX we offer comprehensive dental care for cats and dogs. From basic oral exams to more complex oral surgeries, we're fully equipped to provide your pet with the care needed to remain healthy and happy.
Why is Pet Dental Care So Important?
Just like in humans, oral health impacts overall well-being. While positive dental health can ensure proper digestion and chewing, poor dental hygiene can open the door for issues such as periodontal disease and tooth infections. If left untreated, these preventable conditions can damage other parts of the body, including the brain, health, liver, and kidneys. As a result, annual oral examinations can help prevent more serious health issues from occurring.
Dental Teeth Cleaning (Prophylaxis)
At Country Creek Animal Hospital, we recommend that clients bring in their pets for routine preventive cleanings every six months starting at about age 2 or 3 years old. Some pets may need to see the veterinarian sooner if they have any malalignment to their chompers (overbite/underbite, etc.) or are just unfortunately not blessed with good teeth.
Before the Oral Examination and Dental Procedure even start, we prepare your pet to have a safe trip through anesthesia. By that, we mean we perform an examination and evaluation of your pet the day of the procedure and include pre-operative labwork with the assessment to gauge liver/kidney function and other parameters important to anesthesia as it relates to your pet. We also place an intravenous catheter to deliver medications in case of an emergency and also start the pet on intravenous fluids during the procedure to maintain blood pressure and promote good circulation. Your pet is also fully monitored during the procedure for heart rate and electrical activity (ECG), respiratory rate and oxygenation (SpO2), blood pressure, and body temperature. We also offer a variety of anesthetics, injectable and inhalant, that we can choose from to best suit your pet for their anesthetic episode (not a one size fits all approach).
During this visit, an ultrasonic scaler is used to thoroughly remove plaque from above and below the gum line. Teeth are then lightly buffed and polished, creating a smoothed surface that makes it difficult for plaque and bacteria to accumulate. To protect teeth from cavities and other dental issues, technicians can also apply dental sealants to the surface of teeth.
During the time of the Professional Dental Cleaning (above and below the gumline ultrasonic scaling, above and below the gumline polishing, and application of a plaque prevention gel, OraVet® Gel by Merial or 6 Month SANOS), we also have a doctor perform a complete oral examination and chart the teeth for periodontal pocket depth, any gingivitis, missing teeth, crooked teeth, crowded teeth, etc. We'll assess the health of teeth, gums, and surrounding oral structures. After taking full digital dental X-rays, our vets are able to monitor changes in your pet’s oral health and identify whether additional care will be needed to keep their mouth healthy.
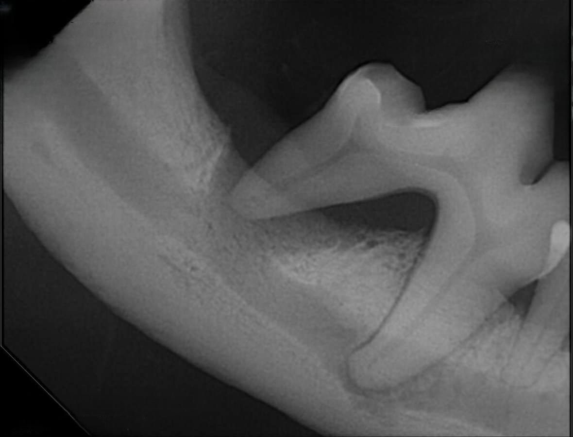
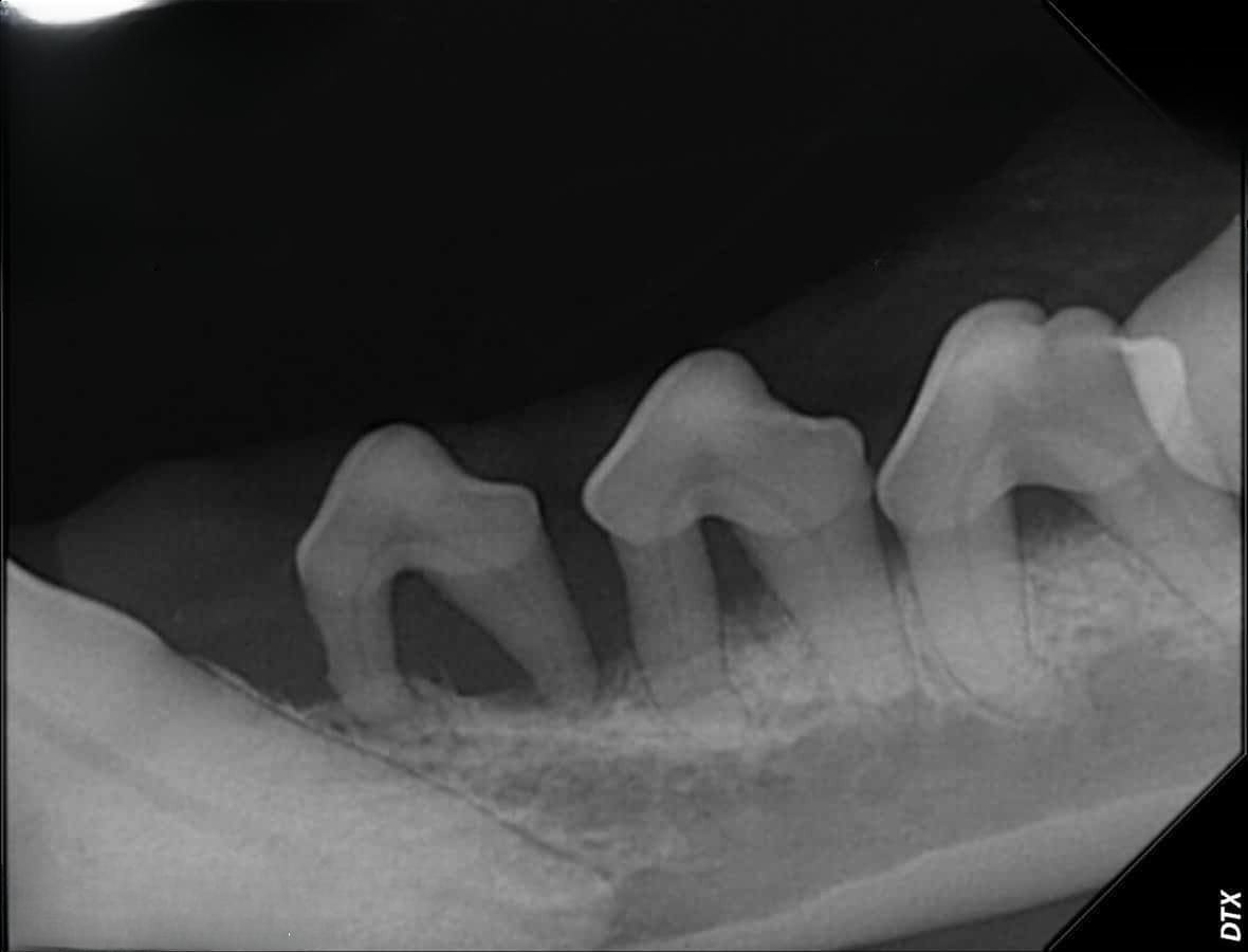
These X-rays allow us to examine the areas we can’t see, the area below the gumline. You would be amazed at how much really bad oral pathology we diagnose simply because we take the time to do x-rays at each dental procedure. Check out a few of the images below! We have diagnosed pets that seemed to have missing teeth with roots of the teeth still intact, pets with known previous extractions to have root tips left behind, abscesses at the root well below the gumline, resorptive lesions where the roots are actually dissolving away and bone is taking its place, etc. This is an important and vital step to any Professional Dental Cleaning and Treatment. Think about it, your Dentist takes x-rays of your oral cavity at least once a year, why would it be any different for your pet? Especially if they don’t have their teeth brushed every day?
In the event that more advanced care is required in order to restore dental wellness, our Allen veterinary practice offers a number of treatments, including:
- Pet Tooth Extraction
- Gum Tissue Removal
- Gum Disease Therapy with Antibiotics
Our mission at Country Creek Animal Hospital is to ensure that your pet comfortable at every step of care. For many pets, sitting still for extended periods of time can be especially difficult. To ensure a comfortable, successful visit, our veterinarians offer anesthesia for pets during dental care. Appropriate for pets of almost any age, anesthesia allows pets to sleep throughout their procedure, in turn allowing our technicians and vets to perform the necessary procedures without interruption.

Advanced Dental Services
If your pet is diagnosed with a major dental issue, we can usually perform the treatments here ourselves with the exception of a root canal. We can refer pets to local veterinarians that specialize/limit their practice to dentistry/oral surgery for such procedures. If a client is not wanting to go as far as a root canal or have restoration performed on a tooth, then we can almost certainly perform any other treatments your pet may need.
Extractions in pets can sometimes be very straight forward and simple and other times be very labor intensive and require specialized equipment to perform them. Many people do not know that a fair number of cat and dog teeth are multi-rooted and (when extraction is required) cannot simply be “pulled” out. Doing so is potentially dangerous and may cause an increased risk of leaving fragments of the roots behind if you did. We actually have to create a surgical flap in the gingiva, delicately drill away some of the bone to better expose the roots, then section the roots, extract the roots individually, smooth out the bone that remains, flush out the area where the tooth once was, possibly fill that with a synthetic bone graft material, re-x-ray the area to make certain that the entire tooth has been extracted, then delicately suture the area closed. That is how we safely extract a multi-rooted tooth to provide for the best outcome for your pet.
Other procedures that can be performed would be removal of any excessive gingival tissue (gingivectomy), placement of local antibiotic for deep pockets where extraction is not elected or warranted (Doxirobe®) and application of a plaque prevention gel that lasts up to six months (Sanos® sealant).
At Home Dental Care and Oral Hygiene for Pets
At-home oral hygiene routine also plays an important role in keeping your pet’s dentition healthy. During every visit, our technicians and veterinarians provide suggestions for developing a proactive dental regimen between office visits.
Our team is dedicated to educating and equipping owners with the tools and knowledge necessary to provide the best dental/oral care they can to their furry family members. From the time we start to see little puppies and kitties all the way up to adult and senior pets, at home dental care should be a frequent and recurring part of your pet’s care. We can go over all of your options for at home dental care to keep your pet’s oral cavity healthy. From brushing teeth daily, tartar reduction chews, special diets, and applying dental sealants at the time of the Professional Dental Cleaning, we have them all here for you to consider.





